Japanese man almost masturbates himself to death
Single Japanese man, 51, almost masturbates himself to death after suffering a stroke moments after he ejaculated
- Right-handed man in Germany had a life-threatening stroke while masturbating
- Subarachnoid haemorrhage usually happens during physical effort
- An expert told MailOnline sexual activity accounts for up to 14% of the strokes
A single Japanese man almost died from masturbating, according to a medical case report.
Doctors claimed the 51-year-old, who they didn’t identify, enjoyed pleasuring himself several times a day.
But his habit nearly killed him on one occasion last year, after he suffered a stroke just moments after ejaculating.
The NHS says the stroke the man suffered can be triggered by having sex, coughing and even going to the toilet.
The man was instantly struck down with agonising ‘thunderclap’ headaches after he climaxed, and later began vomiting.

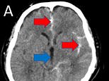
A CT scan (pictured) showed the man’s brain bleed. The white material indicated by red arrows is fresh blood that should not be present. Those spaces should be filled by cerebrospinal fluid, which looks like area marked by the blue arrow

The arrow points to the 51-year-old’s aneurysm, which occurred at the base of the brain in the left internal carotid artery. The carotid arteries are the main blood vessels that supply the head and neck
Concerned about his sudden symptoms, he took himself to Nagoya City University Hospital.
Doctors noticed he had low blood pressure and was disorientated – which are two tell-tale signs of a stroke.
Medics carried out a CT scan on his brain, to find the root cause of his symptoms.
Results revealed he had endured a subarachnoid haemorrhage – a life-threatening type of stroke that was caused by a blood vessel in his brain rupturing.
The man survived his ordeal, and was discharged after nearly two weeks in hospital in an ‘excellent’ condition.
Dr Masahiro Oomura and colleagues, who published the case report in the Journal of Stroke and Cerebrovascular Disease, offered no explanation as to why he may have suffered a stroke from masturbating.
But the NHS says the brain bleeds can happen as a result of physical exertion, such as lifting something heavy or having sex.
There are around 4,800 cases of subarachnoid haemorrhages every year in the UK and are most common in people aged between 45 and 70.
If the haemorrhage is not the result of a head injury, they are most often caused by a burst blood vessel in the brain called a brain aneurysm.
Dr Daniel Walsh, a consultant cerebrovascular neurosurgeon at King’s College Hospital NHS Foundation Trust, told MailOnline that the ruptured aneurysm which caused the patient’s stoke is thought to be linked with a sudden increase in blood pressure.
This is ‘something characteristic’ in sexual activity, he said.
Sexual activity of various kinds, including masturbation, has been linked to between 3.8 per cent and 14 per cent of all subarachnoid haemorrhage cases, he said.
Taking drugs like Viagra or cocaine during sex can increase the risk of having this type of stroke, Dr Walsh explained.
Dr Walsh said: ‘On a positive note, you will probably do more to prevent having a subarachnoid haemorrhage by avoiding smoking, recreational drugs and managing elevated blood pressure with your GP than abstaining from sex in all its forms.’
It comes after a 22-year-old student in Taiwan died from a stroke while having sex with his girlfriend in 2017.
![]()

