Man left ejaculating out of his anus and urinating faeces due to rare condition

Man, 33, was left ejaculating out of his anus and urinating faeces due to rare condition… but didn’t seek medical help for TWO YEARS

The man in Texas sought medical help after suffering testicle pain for five days33-year-old was passing ‘substantial amount’ of semen and urine from his anusDoctors discovered he had abnormal connection between prostate and rectum



<!–

<!–

<!–<!–

<!–

(function (src, d, tag){
var s = d.createElement(tag), prev = d.getElementsByTagName(tag)[0];
s.src = src;
prev.parentNode.insertBefore(s, prev);
}(“https://www.dailymail.co.uk/static/gunther/1.17.0/async_bundle–.js”, document, “script”));
<!–

DM.loadCSS(“https://www.dailymail.co.uk/static/gunther/gunther-2159/video_bundle–.css”);


<!–

A man was left ejaculating out of his anus and urinating faeces because of a rare condition, doctors have revealed.  

The 33-year-old, from Texas, did not seek medical help for two years, and only went for a check-up after suffering testicle pain for five days. 

He told medics he had passed a ‘substantial amount’ of semen and urine from his anus for two years.

And the man, who wasn’t identified, also complained of fecaluria — the presence of faecal matter in the urine. 

Doctors discovered he had an abnormal connection between his prostate and rectum that was causing his urine, faeces and semen to come out of unexpected places. 

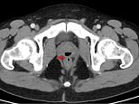
The CT scan has a small arrow pointing to a small tunnel that developed between the patient’s anus and prostate, allowing faeces to come out in his urine and for semen and urine to come out of his anus

His unusual ailment was published in the journal Cureus by physicians who treated him at the University of Texas Medical Branch.

They said the man’s condition — a rectal-prostate fistula — is very unusual and tend to be the result of surgery or inflammatory conditions such as Crohn’s.

Five cases per million people are diagnosed each year — the equivalent of around 300 Brits, according to their report.

WHAT IS A RECTAL-PROSTATE FISTULA? 

Rectal-prostate fistula is a very rare condition, and is only diagnosed in five people per million every year.

The condition occurs when a connection appears between the prostate — which produces a fluid used to make semen — and the rectum — which stores faecal matter.

This allows fluids to flow back and forth between the two areas, which can lead to semen leaking out the anus.

Common symptoms of the condition include the above as well as blood and faecal matter in the urine, and urinary tract infections. 

Surgery is usually required to patch up the tunnel between the prostate and the rectum.

Scientists warn that if the condition is left untreated it can lead to regular urinary tract infections, kidney infections and life-threatening sepsis. 

Advertisement

Common symptoms of the ailment are faeces and blood in urine, as well as urinary tract infections (UTIs).

But the team, led by Frank Ventura, noted that passing sperm through the rectum is a ‘rare symptom’. 

Surgery is usually required to patch up the tunnel that allows for urine, semen and faeces to get mixed up. 

They discovered the patient was suffering from the problem after a CT scan of his pelvis revealed he had a ‘gas-filled structure’ linking his prostate and rectum.

He was also suffering from a swollen left testicle and a UTI and medics carried out ‘extensive’ tests to make sure he didn’t have tuberculosis and inflammatory bowel disease.

The man said he had not previously undergone surgery, or suffered any trauma to his rectum. 

After examining his medical history, the medics pinned the problem on him having a catheter inserted two years earlier while he spent three weeks in a coma after taking cocaine and phencyclidine (PCP).

A catheter is a flexible tube used to empty the bladder and collect urine. It is used on coma patients, those who have problems urinating naturally, as well as before and after surgery.

It is inserted through the urethra and then inflated. 

The doctors believe in their patient’s case, it was put in incorrectly and the balloon part of the catheter blew up too early. 

This left the patient with a tunnel linking his prostate and rectum.

He was given medicine to treat his swollen testicle and a surgical fistula repair was performed. 

And surgeons used part of his rectal wall to create a ‘flap’ to close the tunnel.  

If he had not come forward for treatment, he could have suffered from recurring UTIs, kidney infection and life-threatening sepsis, according to the medics.

The medics said the case is a warning to doctors that there can be rare complications after using a catheter and emphasises ‘the importance of provider mindfulness when utilising seemingly benign therapies’, such as catheters.

Advertisement
Read more:

Loading

Leave a Reply

Your email address will not be published. Required fields are marked *

Follow by Email
Pinterest
LinkedIn
Share